Skip to content
Dental Tourism Albania

Blogs

Read expert tips on dental care abroad, Albanian tourism insights, and clinic updates. Stay informed with the Dental Tourism Albania blog.

Dental Service
Happy smiling people
21 February 202611 min read

The Ultimate Guide to Gum Contouring: Everything You Need to Know

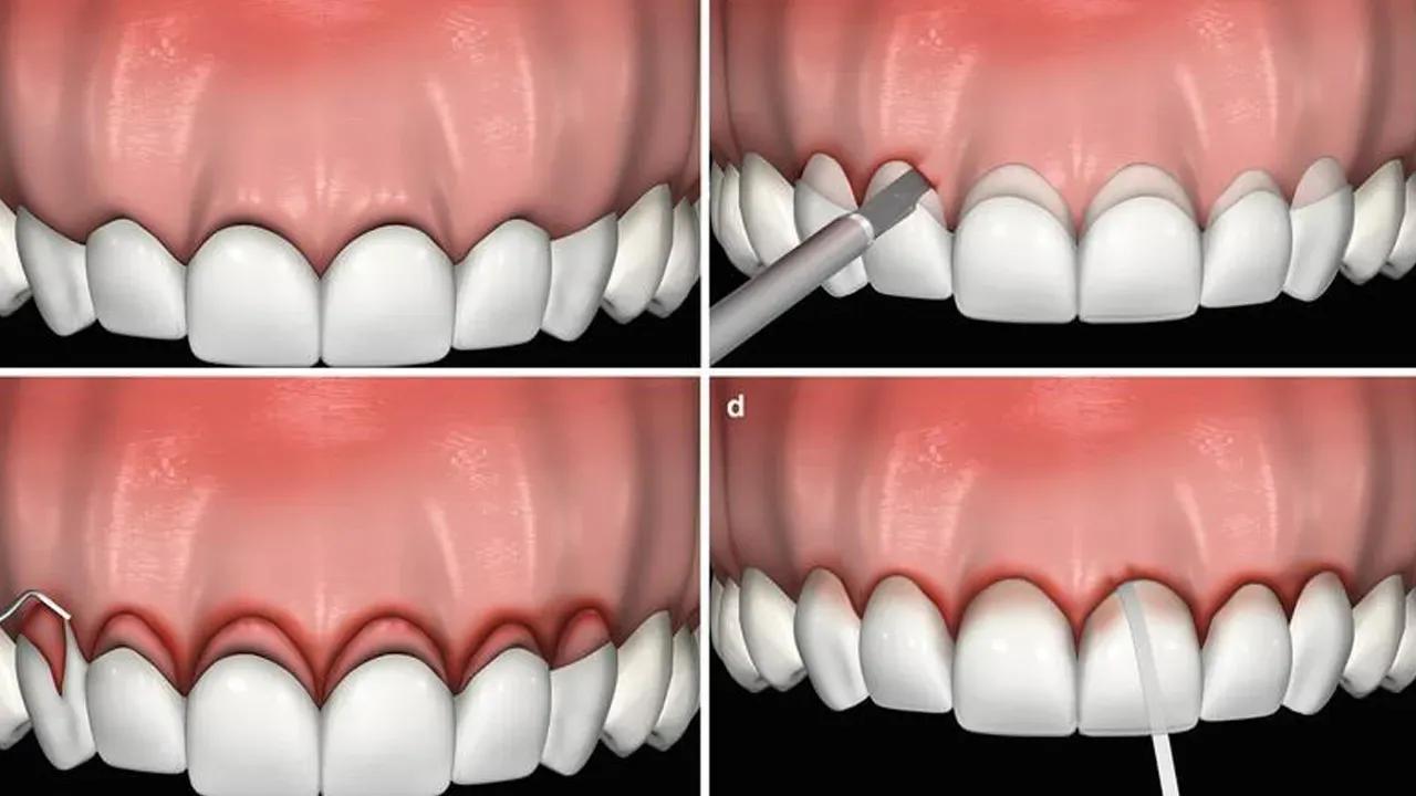
This is where science meets artistry in periodontology. We’re diving deep into the world of gum contouring (also known as gum reshaping). You’ve probably seen those dramatic “before and after” smile transformations-where teeth once looked short, uneven, or hidden behind excess gum tissue, and suddenly the smile appears balanced, symmetrical, and harmonious.

Read more
Dental Service
Emax veneer placement procedure by cosmetic dentist
19 February 20269 min read

The Ultimate Guide to Emax Veneers: Everything You Need to Know

Emax veneers enhance the appearance of your teeth with a thin, painless layer applied to the front surface, requiring minimal or no anesthesia. But you're likely asking: Are they worth it? What's the procedure like? How much do they cost? Let's get into all of that right now!

Read more
Dental Service
Thumbnail with our partner orthodontist
17 February 202613 min read

Metal Braces vs Ceramic Braces: Which Path To A Straighter Smile Is Right?

Choosing between metal and ceramic braces is a major decision for anyone looking to improve their dental health and aesthetics. While both systems function by applying consistent pressure to shift teeth into alignment, they differ significantly in terms of durability, speed, and visibility. Understanding these differences is essential for setting realistic expectations for the orthodontic journey.

Read more
Dental Service
Girl at dentist for Composite Veneers
30 January 202611 min read

Composite Veneers vs Composite Bonding: Differences, Costs, Longevity, and Which Is Right for You

Although often grouped together, composite bonding and composite veneers serve different cosmetic goals. Composite bonding focuses on localised corrections. It adds resin only where needed, preserving natural tooth shape and structure. Composite veneers extend this concept by reshaping the entire visible surface of the tooth.

Read more
Dental Service
beautiful girl sitting dentist's office desktop
29 January 202612 min read

Composite Bonding vs Veneers: Differences, Costs, Longevity, and Which Is Right for You

Composite bonding and veneers are often grouped together as cosmetic dentistry, but clinically they serve different purposes. Composite bonding is an additive procedure that builds onto the natural tooth with resin, preserving enamel and keeping future options open. Veneers involve permanently altering the tooth surface to create a new external layer.

Read more
Dental Service
Dentist showing metallic braces and invisalign
28 January 202612 min read

Invisalign vs Traditional Braces: Differences, Costs, and Clinical Suitability

Invisalign and traditional braces are orthodontic treatments used to straighten teeth and improve bite alignment. Invisalign uses removable clear aligners for discreet, flexible treatment, while braces use fixed brackets and wires for greater control. The right option depends on case complexity, lifestyle preferences, and patient compliance.

Read more
Dental Service
Dental Crowns and Veneers
25 January 202610 min read

Dental Crowns vs Veneers: Differences, Costs, Longevity, and Which Is Right for You

Dental crowns and veneers are both fixed restorations, but they serve different clinical purposes. Crowns are full-coverage restorations designed to strengthen and protect damaged or weakened teeth. Veneers are primarily cosmetic, covering only the front surface of healthy teeth to improve colour, shape, and symmetry.

Read more
Dental Service
Dentist performing a dental procedure on a patient in a clinic setting
3 October 20258 min read

Ozone Therapy in Albania: Affordable, Pain-Free Dental Care Abroad

Get pain-free, affordable dental care in Albania with advanced ozone therapy, treating cavities and gum issues while enjoying a relaxing dental holiday.

Read more
Dental Service
Emax veneers crowns
13 June 2025

Veneers vs. Crowns?

If you’ve ever dreamed of a flawless, confident smile, you’ve probably heard about veneers and crowns. These are two of the most popular ways to transform your teeth, boosting both your appearance and your self-esteem. In this guide, I’ll walk you through what makes E-Max veneers stand out, explore the different types of veneers and crowns, and help you figure out which option might be right for you.

Read more
Dental Service
teeth sensitive
17 February 2025

Say Goodbye to Teeth Sensitivity: Discover the Best Treatments for a Pain-Free Smile

Teeth sensitivity can be more than just a minor annoyance. It can disrupt your daily routine and make even simple pleasures, like sipping on a cold drink or enjoying an ice cream cone, a painful experience.

Read more
Dental Service
3D printing
21 November 2024

3D Printing in Dentistry: Changing the Face of Dental Treatment in Albania

3D printing technology changes the face of dentistry all over the world, including Albania. This method has gained importance in application during the last years in private practice and dental laboratories in Albania.

Read more
Dental Service
teeth whitening
31 October 2024

Teeth Whitening

The process of lightening the colour of the teeth is called Teeth Whitening. In the last few years this process has been a really popular cosmetic treatment. In beautiful Albania, there cannot be a specific total number of people who have required teeth whitening, but we can say for sure that the lower costs are doing a great job in attracting people here and being satisfied with this service.

Read more
Dental Service
Image of successful dental implants
27 September 2024

Before and After Dental Implants: A Complete Overview and What You Must Know

Discover the transformative power of dental implants with our complete overview. Learn everything you need to know about the process, from before and after care, to how implants can improve your smile and oral health. Understand the benefits, costs, and recovery steps for a confident, informed decision on your dental journey

Read more